Recent breakthroughs in Artificial Intelligence is expeditiously changing the world. From Self driving cars to Image Recognition to Chatbots, Artificial Intelligence and its approaches has transformed every industry possible. When it comes to effectiveness & efficiency of these smart technologies, no wonder it has never failed to impress generality.
Machine learning based on predictions theorems is probably benefiting every industry today, so why not Healthcare? Not many might know but Machine Learning has several significant contributions in Medical Imaging, MRI, Pathology, Identification of personalized treatment, Drugs Modification, Radiology and Maintaining electronic health records.
According to reports, Medical Diagnostic errors contribute to approximately 10% of deaths. It falls under IVD (In Vitro Medical Diagnostics) purchased by consumers or used in laboratory settings to detect infections, conditions and diseases. These diagnostic errors might not be human errors, but inefficiency in integrating Health Information technology, lack of healthcare work system leads to improper diagnosis, communication barriers between research and development (R&D); physicians and clinics; patients; caregivers; etc.
Read Also : Know About Machine Learning And Its Innovative Possibilities
Cutting-edge Machine Learning Applications
In the field of healthcare, Machine Learning has a great opportunity to snatch upon revolutionary tools that use NLP (Natural Language Processing), Facial Recognition, Deep Learning & computer-aided diagnosis to support better care.
Listed below are some AI Machine Learning diagnostic applications that facilitate better decision making, improved efficiency of research/clinical trials, and quality healthcare.
-
Enhanced Diagnosis –
Identification of diseases and diagnosis is the forefront of Machine Learning in Medicine. ML is specifically working in the area for treating Brain based diseases & most dreadful Cancer. According to several reports, more than 800 medicines and vaccines to treat cancer are already in trial. And using predictive analytics to help diagnose and provide treatment for brain diseases are much in demand.
-
Oncology –
With deep learning, it has opened the doors for early detection of cancer. As it is considered as the second leading cause of death worldwide. Fortunately, deep learning software has displayed abilities to diagnose accurately in comparison to experts and at early stages so that timely actions can be taken.
Read Also : Best Machine Learning Tools That Are Blessing For Developers
-
Effective Personalized Treatment –
It’s the hottest research area, where patient’s data is paired with predictive analytics that helps provide personalized medication & effective treatment to patients. The domain ruled by physicians takes help from more limited sets of diagnosis. In order to drive changes in treatment decisions and to optimize the selection of treatment options. In the near future we are likely to see increased use of mobile apps, biosensors with limitless health measurement & minutely monitoring health issues. This will hopefully, reduce health-care costs and patients adhere strictly to prescriptions, will automatically optimize health of individuals as well.
-
Chatbots –
AI based Chatbots can identify patterns in patient’s symptoms, through speech recognition capability. It can then reportedly compare symptoms from cases stored in its database. In feedback, it analyzes the issues with user and give appropriate suggestions and course of action. Based on patient’s answers which Chatbot asks regarding patient’s medical history, symptoms & circumstances etc. In addition, with diagnosis, Chatbots also integrates to patient’s data with wearable devices to monitor cholesterol level and heart rate etc.
-
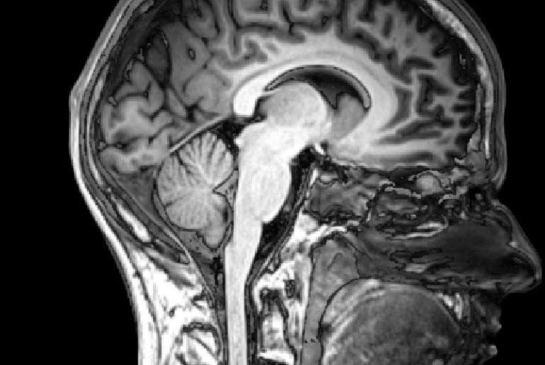
Enhanced Brain Image Data Quality in MRI –
Brain Imaging or Neuroimaging is conducted to assess brain disorders and ensure proper functioning. Brain imaging helps diagnose brain diseases and also improve research pertaining to the human brain. Even though these are just some of the many great advantages of brain imaging, MRI (Magnetic Resonance Imaging) faces huge issues during the process. Reduction in data quality arises, as the patient moves his/her head during MRI scan, it hinders brain analysis & results into wrong diagnosis. With ML assistance & software such as FIRMM, that helps monitor brain-related data in real-time and provides metrics on data quality. Developed under Linux OS, and works only mainly in Ubuntu and CentOS platforms.
-
Robotic Surgery –
When it comes to surgical robots, the da Vinci robot has stolen the game. It allows surgeons to wield robotic limbs in order to perform surgeries with fine detail and in tight spaces without trembling. Though not all robotic surgeries have ML infused in it, but it helps identify distance from robot’s limbs to the body operated. Also, it looks after constant motion and movement of robotic limbs when taking directions from human controllers.
-
Unusual Diseases –
To treat several rare diseases, Machine Learning infuses with Facial recognition software that helps in clinical diagnosis. Through these facial recognition software or deep learning software, patient’s photos are analyzed with facial analysis working behind. And deep learning stands to detect phenotypes that correlate with rare genetic diseases.

We have explored several of these pioneering applications, though the list of innovations is certainly never-ending. We intended to deliver a succinct group of current dynamism based on AI Machine Learning.
Closing Thoughts
The reactive approach to healthcare is molded to predictive approach today. With these smart technologies, we believe there are unlimited number of virtual opportunities available. With plethora of innovations in many healthcare organizations around the country, Machine Learning truly looks like a savior that empowers healthcare systems.